Próteses Dentárias de Qualidade

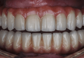
Imagine morder uma maçã ou sorrir para uma foto sem pensar duas vezes. Nossas próteses dentárias são feitas para devolver essas experiências para você. Elas são projetadas para se integrar perfeitamente na sua boca, tanto em termos de conforto quanto de aparência. Com nossas próteses, você não só substitui dentes perdidos; você recupera a funcionalidade e a beleza do seu sorriso.